【远东宏信3.0新时代】让技术扎根,让人才生长,宏信健康以学科建设打通优质医疗资源下沉的“最后一公里”
今年全国两会期间,“实施医疗卫生强基工程”被写入政府工作报告,成为会场内外热议的焦点。如何打通健康便民“最后一公里”,让更多群众在家门口看好病,既是国家的政策指引,也是基层群众的迫切期盼。
作为深耕基层的医疗健康集团,远东宏信旗下的宏信健康依托分布于全国13个省份的25家成员医院,直面学科提升、人才培养、资源链接等现实课题,进一步发挥集团化优势,以首席专家为引领,以人才培养为纽带,正在探索一条社会办医学科建设的特色路径。
从100例手术到系统化能力沉淀
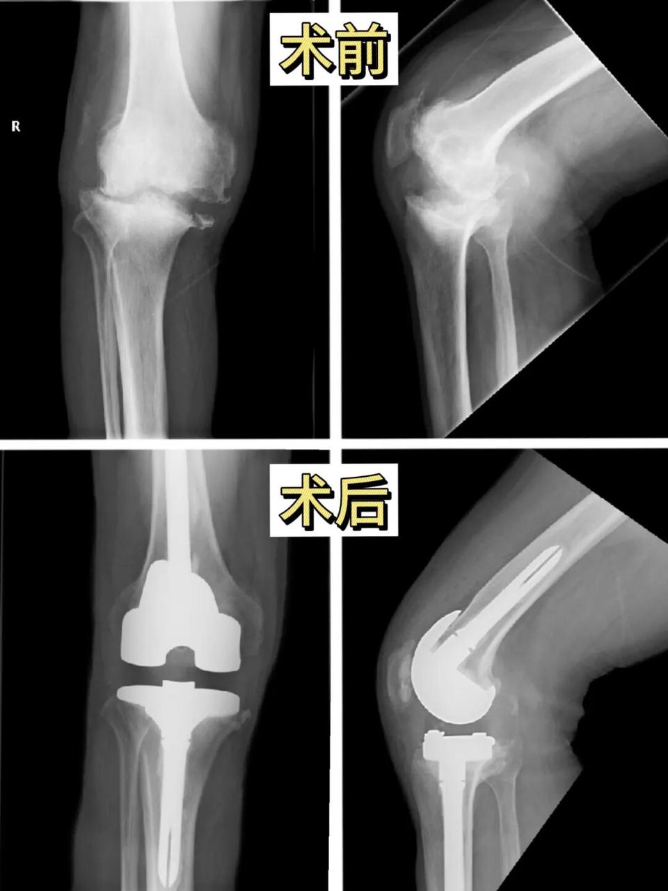
不到四个月,成功开展100余例膝关节置换手术。
这是宏信健康骨科首席专家李军教授带领邳州东大医院骨科团队交出的最新成绩单,其中包含多例严重屈曲挛缩畸形等复杂病例。
国家卫生健康委员会数据显示,我国65岁及以上人群中,约半数患有骨关节炎等慢性骨病。而在县域及农村地区,受长期劳作习惯、健康认知水平等因素影响,骨关节退行性疾病的发病年龄更早、病程更长,患者对“家门口”优质骨科诊疗的需求尤为迫切。

对于一家县级医院而言,100余例手术的背后,是几项关键能力的沉淀——
· 手术节奏趋于稳定:近四个月保持常态化运转,意味着团队已形成标准化流程,而非偶然的集中手术。
· 复杂病例承接能力提升:膝关节屈曲挛缩是中重度畸形的代表术式,对软组织松解、屈伸间隙平衡技术要求较高,过去在县级医院开展较少,反映团队具备了处理复杂病例的技术储备。
· 快速康复流程跑通:从术前宣教、术中管理到术后康复,一套完整的ERAS(快速康复)诊疗链条已在邳州落地。这需要麻醉、护理、康复多科室协同,考验的是团队作战能力。
随着诊疗能力的提升,周边县市患者纷纷慕名前来就诊。近期,更有河南患者专程前往邳州东大医院接受CCK人工假体膝关节置换手术。

邳州东大医院的突破,也正印证了基层社会办医机构学科建设的路径,正在让更多患者享受“好医疗无须远行”。
从“治疗”到“全周期”的学科升级
随着人口老龄化加速和慢病患者群体扩大,康复医疗的需求也正在从“术后恢复”延伸至健康管理的全过程。过去一年,宏信健康康复学科建设持续深化,完成了一套“组合拳”。康复学科首席专家徐燕忠教授多次深入成员医院开展区域规划、学科发展指导,并牵头举办康复医学培训,聚焦康复前沿技术与临床实践,为宏信健康成员医院康复骨干提供系统赋能。

随着康复学科资源下沉,多家成员医院逐步开展神经康复、产后康复、心肺康复等新项目。将“全周期”理念融入临床实践,推动康复服务从“单一治疗”导向转向“防、治、康、养”的全程管理。

从百余名骨干到覆盖全国的成员医院,宏信健康正在走出一条专家引领、体系支撑、临床落地的康复学科发展路径。越来越多的患者开始在“家门口”享受到从急性期治疗到恢复期康复的连贯服务。
从单点突破到系统培养基层医疗人才
学科建设的深度与广度,根植于人才成长的土壤。 宏信健康一直致力于构建系统化培养机制,让每家成员医院的个体突破,在体系的土壤中生根发芽,最终汇聚成学科发展的整体势能。
通过宏信健康学科委员会统筹推动,学科领航人才培养计划分步实施,成员医院医生依托线上课堂国外文献阅读、学科理论学习、典型病例讨论,手术细节复盘等逐步提升规范化诊疗水平;线下依托学科带教基地全脱产学习,在门诊跟学、查房实践、手术观摩中系统掌握核心技术。此外以赛促学也在同步展开,集团康复治疗师病例大赛成功举办,各成员医院康复骨干在切磋中沉淀学科共识,以“强化专业能力、促进学术交流、搭建成长平台”为核心,为学科高质量发展,不断注入人才动力。


以学科建设照亮医疗情怀与持续发展。以“好医疗无须远行”为发展使命,宏信健康正吸引着越来越多医疗专家的加入。多位学科专家走进成员医院的临床一线,通过“专家+平台”的协同模式,将前沿技术、管理经验与临床思维系统注入各成员医院,助力县域医疗卫生水平走上发展提升的快速路。
未来,宏信健康将进一步深化专科建设与人才培养,不断探索具有社会办医的特色化学科建设路径,让医者的仁心仁术,化为百姓触手可及的安心与信赖。
